Ausgangssituation:
Patientin
68 Jahre,
ehemalige Lehrerin,
kommuniziert gern und klar strukturiert.
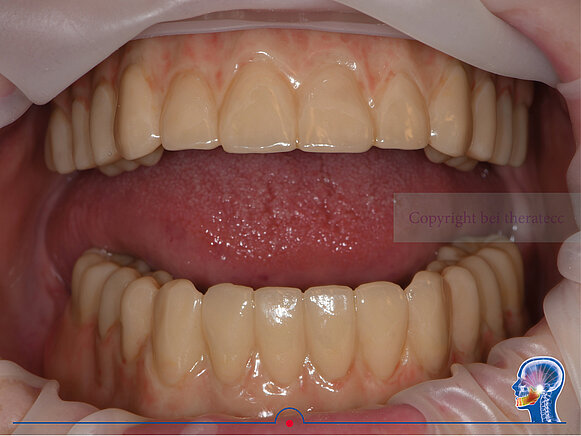
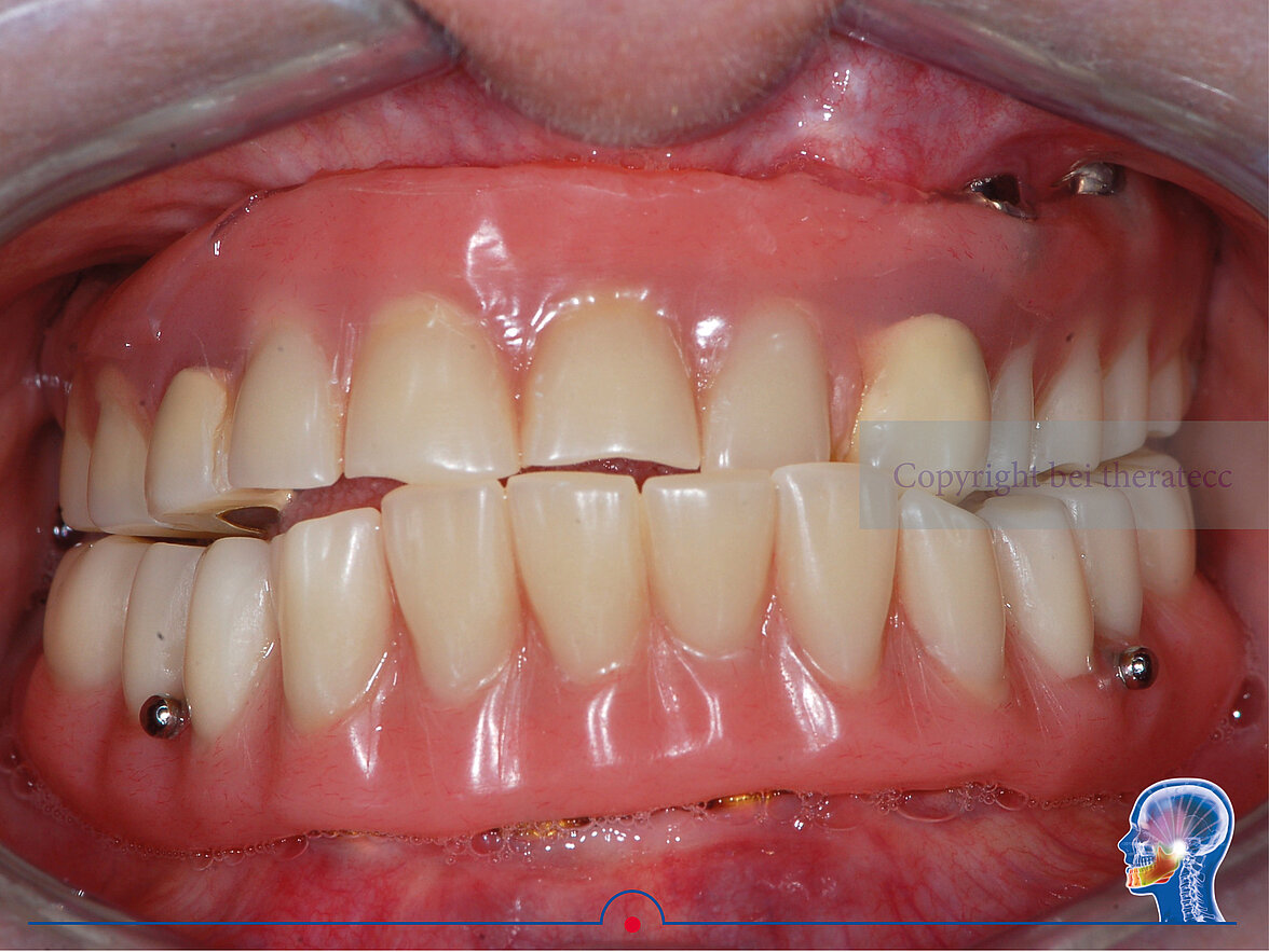
Zwei insuffiziente totale Prothesen im OK teleskopgetragen, im UK Locatorenversorgung mit einer durchaus spannenden Okklusion.
Patientin wünscht sich eine ästhetisch ansprechende, gaumenfreie und lagestabile Versorgung und möchte nie ohne Zähne aus dem Haus gehen.
Fallvorstellung:
Ein spannender Fall, bei dem aus zwei suboptimalen totalen Prothesen zwei ästhetisch und funktionell ansprechende Teleskopversorgungen entstehen. Dabei waren die Wünsche und Bedürfnisse der Patientin klar formuliert.
Mit diesem Fall wird ein Konzept vorgestellt, mit dem es gelingt, die ästhetischen und funktionellen Parameter neu zu definieren.
Zudem wird mit diesem Konzept die Tragedauer der provisorischen Versorgung deutlich reduziert, die Eingliederung wird zum Kinderspiel und der Wunsch der Patienten nie ohne Zähne das Haus zu verlassen konnte dank digitalem Workflow auch realisiert werden.

Herausforderungen:
Die größte Herausforderung bei diesem Fall war, die Wiederherstellung einer optimalen Bisslage. Damit verbunden die anatomisch und ästhetisch korrekte Gestaltung der Okklusionsebene.
Es brauchte eine Lösung, um die Gesichtsebenen, die zentrische Bisslage, die Zahnlänge und Position der Zähne zu bestimmen, damit die phonetischen und ästhetischen Wünsche der Patientin realisiert werden konnten.
Der Wunsch nie ohne Zähne aus dem Haus zu gehen war eine weitere Herausforderung.
Lösungsweg:
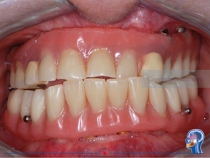
Für eine optimale Lagestabilität wurden im Oberkiefer sechs und im Unterkiefer 4 Implantate inseriert. Nach der Einheilphase erfolgte die Abformung klassisch analog.
Für die Erfassung der Ebenen wurde das therafaceline® Gesichtsbogensystem genutzt.

Der Vorteil dieses Systems ist, dass der Gesichtsbogen am Patienten exakt zur Camper´schen Ebene und zur Bipupillarlinie ausgerichtet werden kann. Damit ist es möglich die Gesichtsebenen eins zu eins in einen Artikulator zu übertragen. Das Oberkiefermodell steht ebenengerecht im Artikulator.
Welchen weiteren Vorteil dieses System für die Gestaltung der Okklusionsebene hat, wird sich dann gleich noch zeigen.
Neben den Ebenen kann mit dem therafaceline® Gesichtsbogen auch die physiologische Bisshöhe bestimmt werden. Das war bei diesem Fall auch dringend notwendig. Die Bestimmung der Bisshöhe erfolgt über den Ästhetikindex, bzw. den goldenen Schnitt.
Da die Patientin bei jedem Zubeißen einen anderen Biss hatte, war eine klassische Handbissnahme hier keine Lösung. Deshalb erfolgte die Bissnahme digital mit dem Centric Guide® 3D System.

Das System ist das erste digitale 3D Stützstiftverfahren. Mit insgesamt 4 Sensoren können alle UK Bewegungen dreidimensional direkt im Mund erfasst werden. Das System visualisiert dem Anwender die ideale zentrische Kondylenposition. Von besonderem Vorteil ist dabei, dass diese Position sofort in ein Bissregistrat überführt werden kann. Die dreidimensionale Erfassung ermöglicht auch die Bestimmung der sagitalen Gelenkbahnneigung und der Bennettwinkel. Alle UK Bewegungen und die Gelenkparameter werden in einem Registrierungsprotokoll dokumentiert. Mit diesen Werten kann der analoge und der digitale Artikulator individuell programmiert werden.
Jetzt haben wir alle Parameter für eine erfolgreiche prothetische Versorgung. Das UK Modell wird mit den Silikonbissen in zentrischer Relation in den Artikulator eingestellt.
Damit stehen jetzt beide Modelle exakt im Artikulator. Das OK Modell ist zur Bipupillarlinie und zur Camper´schen Ebene ausgerichtet, die Bisshöhe und Bisslage wurde reproduzierbar bestimmt und der Artikulator wurde mit den individuellen Gelenkparametern programmiert.
Kurz um wir haben alles was wir brauchen.
Als erstes wurden die Innenteleskope aus Titan Prefaces digital gefertigt und händisch finalisiert. Für einen spannungsfreien Sitz der Teleskopprothesen, wurden die Sekundärteile galvanisch hergestellt. Darüber wurde dann digital die Überkonstruktion gestaltet. Für alle die kein Galvano mögen, können die Sekundärteile auch aus PEEK gefertigt werden.
Der entscheidende Unterschied, bzw. Vorteil dieses Konzepts ist, dass man sich zu 100 % auf die erfassten Ebenen und den bestimmten Biss verlassen kann. Der therafaceline® Ebenentisch visualisiert die ideale Okklusionsebene bestehend aus Camper´scher Ebene und Bipupillarlinie. Ähnlich wie die gute alte Glasplatte von Prof. Gysi dient der Ebenentisch als Aufstellhilfe für die neue Zahnversorgung. Die Oberkieferzähne werden nach dem Konzept von Prof. Gysi in Kontakt zu der Tischebene aufgestellt. Damit ist garantiert, dass die Zahnversorgung auch wirklich parallel zu den Gesichtsebenen ausgerichtet werden kann. Von besonderem Vorteil ist, dass der Ebenentisch mit nur einem Scan in den digitalen Workflow übertragen werden. Denn in der digitalen Welt sind Bezugsebenen als Orientierung und Anhaltspunkt elementar.


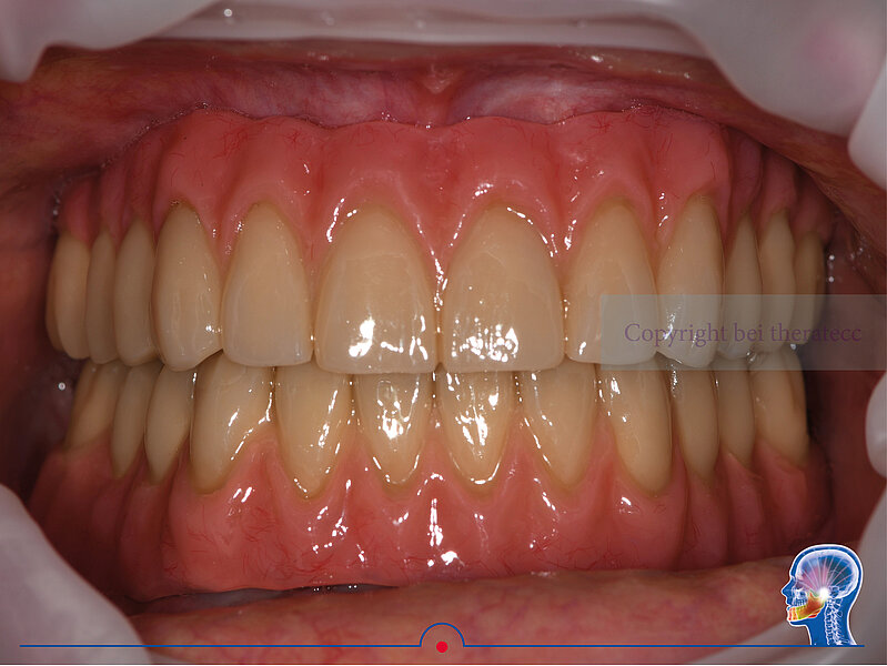
Bereits zum dritten Termin werden die Innenteleskope / Teleskopabutments definitiv eingegliedert. Damit müssen die Innenteleskope nie mehr erst am Ende mit der fertigen Prothese eingegliedert werden. Das erspart viel Stress und Ärger. Nach der Eingliederung erfolgt das spannungsfreie Verkleben der Sekundärteile mit der Tertiärstruktur direkt im Mund. Im Anschluss werden die bereits gefertigten Zweitprothesen eingegliedert. Diese beiden Prothesen werden im digitalen Workflow designt und aus einem Hochleistungs-PMMA gefräst. Die neue Bisslage, die Bisshöhe und die Gesichtsebenen sind bereits in diesen Zweitprothesen umgesetzt.
Die Patienten können bereits jetzt die Ästhetik, Phonetik und Funktion der neuen Zahnversorgung erleben. Die Kaumuskulatur kann sich ähnlich einer Schienentherapie neu adaptieren. Familie, Freunde und Bekannte können die neue Zahnversorgung bestaunen und ihr kritisches Urteil abgeben. Wenn es denn noch Änderungswünsche gibt, lassen diese sich einfach im digitalen Fertigungsprozess der definitiven Versorgung mit integrieren.
Ganz nebenbei hat sich dadurch die Tragedauer der Provis auf wenige Tage reduziert und der Wunsch der Patientin nie ohne Zähne außer Haus zu gehen konnte auch erfüllt werden. Der sonst übliche Einprobetermin ist damit auch überflüssig.
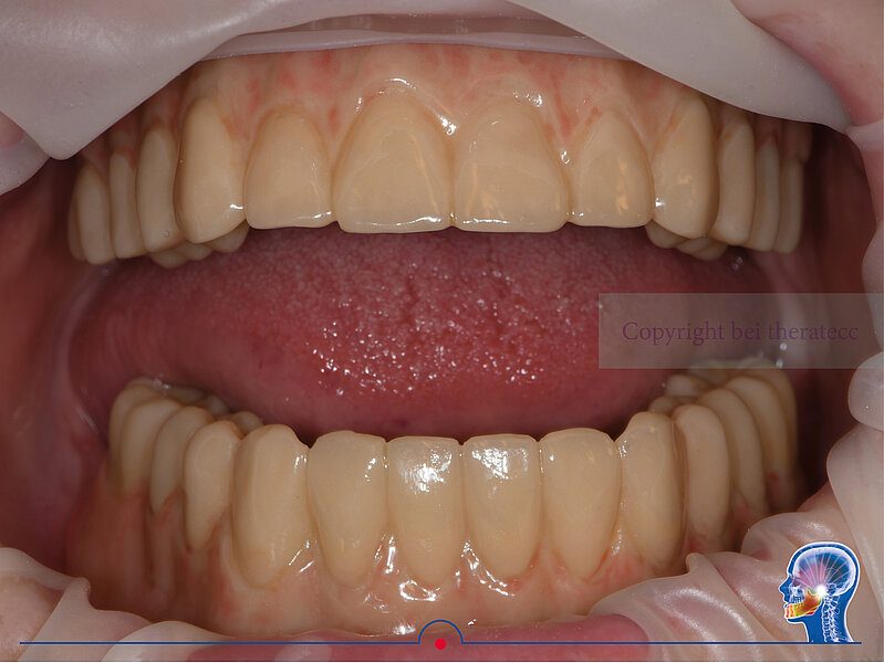
Der letzte Termin ist dann ein wirkliches Heimspiel, es werden nur die Zweitprothesen durch die definitiven Prothesen ausgetauscht. Mit den Zweitprothesen haben Patienten nie mehr Stress, wenn die definitive Zahnversorgung mal zur Zahnreinigung muss. Die Patienten haben immer ihre Zähne im Mund. Das ist für viele Patienten ein wirklicher Vorteil.

Fazit:
Die zuverlässige Erfassung der Bisslage und der Gesichtsebenen und deren Nutzung für die ästhetische und funktionelle Gestaltung der Versorgungen ist der elementare Vorteil dieses Konzepts. Die Zufriedenheit der Patienten und die Langlebigkeit der Versorgungen bestätigen den Erfolg. Aus Gero prothetischer Sicht ist die leichte Reinigungsfähigkeit der Innenteleskope im Mund ein weiterer Vorteil dieser Teleskopversorgung im Vergleich zu einer Stegversorgung oder auch einer festsitzenden Lösung.
In der Vergangenheit hatten wir ohne die Ebenen- und Bisserfassung häufig Stress mit der Zweitprothese, denn wenn der Biss oder die Ebenen nicht stimmen, sind diese nachzuarbeiten, bzw. anzupassen. Damit scheitert das gesamte Konzept, denn die Innenteleskope können dann nicht schon zum dritten Termin definitiv eingegliedert werden, weil die Zweitprothese nachgearbeitet werden musste. Zudem wurden früher die Zweitprothesen händig gefertigt, was einen großen Aufwand und damit auch einen höheren Preis nach sich zog. Durch die digitale Fertigung und die Sicherheit bei den Ebenen und dem Biss kann die Zweitprothese sehr entspannt und auch kostengünstig hergestellt werden.
Wenn Sie dieses Konzept gern in Ihren Alltag integrieren möchten,
empfehlen wir Ihnen die Teilnahme an einem unserer
In diesen Kursen erfahren Sie Step by Step alle wichtigen Details, für die erfolgreiche Umsetzung.
Kommentare & Rezensionen
Ihre Meinung ist gefragt!
Haben Sie Gedanken oder Fragen zu diesem Fall? Teilen Sie Ihre eigenen Erfahrungen mit uns. Wir freuen uns auf Ihren Beitrag und den fachlichen Austausch!